Invisalign® in Waterloo
— Discreet, Comfortable
Teeth Straightening
Clear Aligners Tailored To Your Bite, Lifestyle, And Goals.
what is Invisalign®
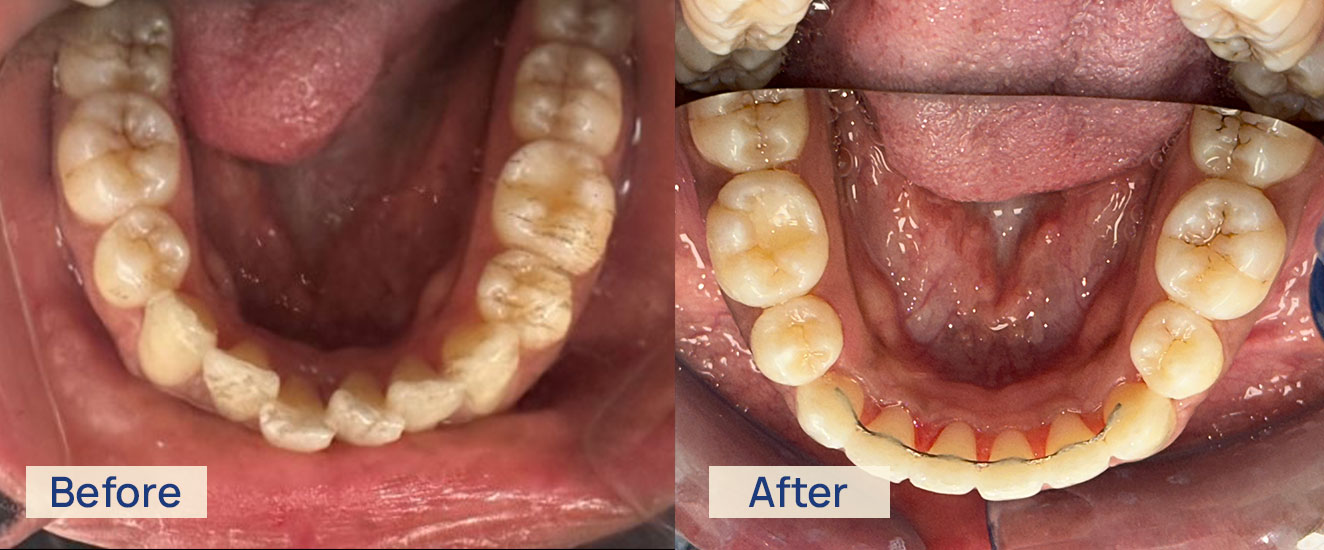
Invisalign® uses a series of custom clear trays to shift teeth gradually—often in 6–18 months for typical cases. Most adults and teens can eat normally by removing trays for meals and brush easily without brackets or wires. We plan your tooth movement digitally, guide you through check-ins, and provide retainers to help keep your results in place.
Who benefits & candidacy
- Mild–moderate crowding, gaps, relapse after braces, some bite discrepancies.
- Patients committed to ~22 hours/day wear and switching trays as directed.
- We’ll review your dental/medical history, gum health, and any restorations.
Your Invisalign journey
01
Digital consultation & 3D scan (no gooey impressions).
02
Treatment plan preview with tooth-by-tooth staging (attachments/IPR if indicated).
03
First tray delivery and wear schedule (typically 1–2 weeks per tray).
04
Check-ins every 6–10 weeks to verify tracking and comfort.
05
Refinements if needed to fine-tune rotations or root angulation.
06
Retainers: Vivera® or equivalent to help maintain your new alignment.
HOW CLEAR ALIGNERS MOVE TEETH?
- Remove trays for eating, hot beverages, or coloured drinks; brush/rinse before reinserting.
- Expect light pressure for 24–72 hours with each new tray; OTC analgesics can help.
- Clean with a soft brush and lukewarm water; avoid hot water which can warp trays.
- Many crowding/spacing cases respond predictably; complex skeletal or severe bite issues may require alternative or adjunctive care.
- Post-treatment retention is essential—wear retainers as instructed to reduce relapse.
- Investment varies by complexity and duration. We provide a written fee estimate after your consult and offer 0% in-house plans or third-party financing (OAC).
WHY NORTHBRIDGE DENTAL FOR INVISALIGN?
- Digital planning and patient-centred follow-ups
- Options for students (Studentcare)
- Convenient appointment times and multilingual team
Start Your Confident
Smile Journey with Invisalign®
FAQ’S
Provided after your consultation and plan review.
Often yes—ask us how to time it.
Contact us; we’ll advise whether to advance, revert, or replace.
Mild lisping can occur for 1–3 days and usually resolves.
Typically every 6–10 weeks, case-dependent.
Yes—retention helps protect your results.








